- No.009
-
-

- 43歳
-

- 女性
-

- 2013.08.31
-

-
ヒアルロン酸注入
しこり
-
- ヒアルロン酸注入
- しこり
- 3年
- ヒアルロン酸溶解注射
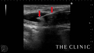
ヒアルロン酸豊胸は乳腺下(大胸筋と乳腺の間)に注入しますが、この方は大胸筋の中に注入されていました。
ヒアルロン酸によるしこりは、ヒアルロン酸溶解注射(ヒアルロニダーゼ)で分解すれば吸引除去が可能ですが、確実にしこり内に注射するためにはエコー下で行う必要があります。
画像は、しこりの中に注射針を穿刺したところと、ヒアルロニダーゼを注入しているところです。
ヒアルロニダーゼが入ると加水分解して白く点状の画像として描出されます。
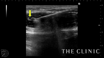
しこり全体にヒアルロニダーゼが浸透するように十分な量を注入することがポイントです。
ヒアルロニダーゼを注入すると容易にヒアルロン酸を吸引除去することができます。
吸引をしっかり行い、エコー上はすべて消失しました。
これが吸引除去したヒアルロン酸です。
気になっていたしこりがなくなり、1ヶ月後にはコンデンスリッチ豊胸をされました。見た目や手触りで、より自然なバストにすることができました。
ヒアルロン酸注入によるしこりのエコー診断カルテ
-
- No.077
-
-

- 41歳
-

- 女性
-

- 2016.03.25
-
- ヒアルロン酸注入による失敗
-
- No.073
-
-

- 35歳
-

- 女性
-

- 2015.12.27
-
- ヒアルロン酸注入による失敗
-
- No.071
-
-

- 33歳
-

- 女性
-

- 2015.12.21
-
- ヒアルロン酸注入による失敗
-
- No.068
-
-

- 40歳
-

- 女性
-

- 2015.11.18
-
- ヒアルロン酸注入による失敗
-
- No.066
-
-

- 33歳
-

- 女性
-

- 2015.10.27
-
- ヒアルロン酸注入による失敗


































