- No.066
-
-

- 33歳
-

- 女性
-

- 2015.10.27
-

-
ヒアルロン酸注入
しこり
-
- ヒアルロン酸注入
- しこり
- 7ヶ月
- ヒアルロニダーゼ

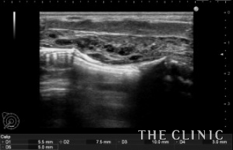
ヒアルロン酸は通常は乳腺と大胸筋の間に注入しますが、時々大胸筋内に注入されて炎症を起こしたり、しこりになる場合があります。
今回紹介する方も以前炎症をおこしたためヒアルロン酸を溶解しました。
比較のためヒアルロン酸が入っていない部位をまずはご覧ください。
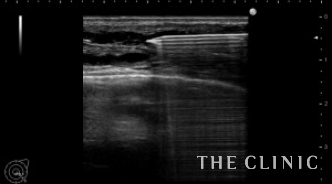
こちらは大胸筋内に細かくヒアルロン酸が注入されています。
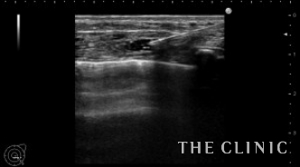
エコー下にヒアルロニダーゼで溶解、吸引しました。
ほとんどなくなりました。
除去したヒアルロン酸です。
ヒアルロン酸注入によるしこりのエコー診断カルテ
-
- No.077
-
-

- 41歳
-

- 女性
-

- 2016.03.25
-
- ヒアルロン酸注入による失敗
-
- No.073
-
-

- 35歳
-

- 女性
-

- 2015.12.27
-
- ヒアルロン酸注入による失敗
-
- No.071
-
-

- 33歳
-

- 女性
-

- 2015.12.21
-
- ヒアルロン酸注入による失敗
-
- No.068
-
-

- 40歳
-

- 女性
-

- 2015.11.18
-
- ヒアルロン酸注入による失敗
-
- No.059
-
-

- 38歳
-

- 女性
-

- 2015.07.31
-
- ヒアルロン酸注入による失敗

































