- No.071
-
-

- 33歳
-

- 女性
-

- 2015.12.21
-

-
ヒアルロン酸注入
しこり
-
- ヒアルロン酸注入
- しこり
- 3年
- 穿刺、切開

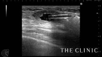
本日は大阪院勤務でした。
他院でヒアルロン酸豊胸を行った方ですが、炎症のためヒアルロン酸の周囲に非常に厚い被膜が形成され、瘢痕化していました。
しこりは両側の乳房全体にあり、一部は以前ヒアルロニダーゼで吸引しました。
被膜は肥厚して中心にわずかにヒアルロン酸があります。
ヒアルロニダーゼで溶解して吸引しましたが、被膜は残存しています。

瘢痕化したしこりはヒアルロニダーゼで除去できないため本日乳輪を切開してしこりを摘出しました。
摘出したしこりです。
エコーとの比較です。
このしこりは内腔がありヒアルロン酸がありました。
ヒアルロン酸豊胸は気軽に受ける方も多いですが、このようなしこりになることもあるのでリスクも考えて豊胸するべきだと思います。
ヒアルロン酸注入によるしこりのエコー診断カルテ
-
- No.077
-
-

- 41歳
-

- 女性
-

- 2016.03.25
-
- ヒアルロン酸注入による失敗
-
- No.073
-
-

- 35歳
-

- 女性
-

- 2015.12.27
-
- ヒアルロン酸注入による失敗
-
- No.068
-
-

- 40歳
-

- 女性
-

- 2015.11.18
-
- ヒアルロン酸注入による失敗
-
- No.066
-
-

- 33歳
-

- 女性
-

- 2015.10.27
-
- ヒアルロン酸注入による失敗
-
- No.059
-
-

- 38歳
-

- 女性
-

- 2015.07.31
-
- ヒアルロン酸注入による失敗































