- No.068
-
-

- 40歳
-

- 女性
-

- 2015.11.18
-

-
ヒアルロン酸注入
しこり
-
- ヒアルロン酸注入
- しこり
- 6年
- ヒアルロン酸溶解、吸引
ヒアルロン酸豊胸はバッグや脂肪による豊胸と比べると比較的気軽に行える方法です。
通常は時間の経過とともに吸収されますが、炎症を起こしたり、カプセル化してしこりになる場合もあります。
本日来院した方は6年前に他院でヒアルロン酸豊胸を行いましたが、しこりになったため来院しました。
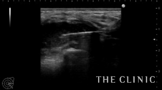
術前のエコーです。通常ヒアルロン酸はエコーでは黒く描出されますが、炎症により白い部分が多くなっています。
今回は局所麻酔でヒアルロン酸を溶解除去しました。
ほとんど吸引できました。

除去したヒアルロン酸です。
白く濁っています。
ヒアルロン酸注入によるしこりのエコー診断カルテ
-
- No.077
-
-

- 41歳
-

- 女性
-

- 2016.03.25
-
- ヒアルロン酸注入による失敗
-
- No.073
-
-

- 35歳
-

- 女性
-

- 2015.12.27
-
- ヒアルロン酸注入による失敗
-
- No.071
-
-

- 33歳
-

- 女性
-

- 2015.12.21
-
- ヒアルロン酸注入による失敗
-
- No.066
-
-

- 33歳
-

- 女性
-

- 2015.10.27
-
- ヒアルロン酸注入による失敗
-
- No.059
-
-

- 38歳
-

- 女性
-

- 2015.07.31
-
- ヒアルロン酸注入による失敗






























