- No.059
-
-

- 38歳
-

- 女性
-

- 2015.07.31
-

-
ヒアルロン酸注入
しこり
-
- ヒアルロン酸注入
- しこり
- 数年前
- 切開 溶解
ヒアルロン酸豊胸は比較的気軽に受けられる豊胸術ですが、時々しこりや炎症を起こすこともあります。
数年前に他院でヒアルロン酸を受けた方が、乳房のしこり、皮膚の発赤で来院しました。
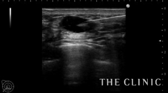
エコーでは多数のヒアルロン酸のしこりを認め、皮膚の発赤部分の深部は炎症のため診断できませんでした。

MRIでは多発するヒアルロン酸が見られます。左胸の乳腺組織の下には炎症の原因と思われる液体が貯留しています。

左乳房の下縁を切開してみると汚い液体がでてきました。
きれいに洗浄して傷を閉じました。
他のヒアルロン酸のしこりは溶解して除去しました。
ヒアルロン酸は、通常は時間の経過とともに自然に吸収されますが、このようにしこりになったり炎症を起こすこともあるので、リスクも考慮して豊胸を受けて欲しいと思います。
ヒアルロン酸注入によるしこりのエコー診断カルテ
-
- No.077
-
-

- 41歳
-

- 女性
-

- 2016.03.25
-
- ヒアルロン酸注入による失敗
-
- No.073
-
-

- 35歳
-

- 女性
-

- 2015.12.27
-
- ヒアルロン酸注入による失敗
-
- No.071
-
-

- 33歳
-

- 女性
-

- 2015.12.21
-
- ヒアルロン酸注入による失敗
-
- No.068
-
-

- 40歳
-

- 女性
-

- 2015.11.18
-
- ヒアルロン酸注入による失敗
-
- No.066
-
-

- 33歳
-

- 女性
-

- 2015.10.27
-
- ヒアルロン酸注入による失敗






























