- No.077
-
-

- 41歳
-

- 女性
-

- 2016.03.25
-

-
ヒアルロン酸注入
しこり
-
- ヒアルロン酸注入
- しこり
- 7カ月
- ヒアルロニダーゼ 穿刺処置
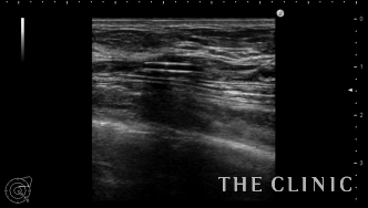
初めてアクアフィリングのしこり除去を行ったので紹介します。
当院では行っていませんが、アクアフィリング豊胸は98%の水分と2%のポリアミドで
構成されたフィラーを注入する方法で効果はヒアルロン酸よりも持続するようです。
今回はコンデンスリッチ豊胸を行うために、前もってアクアフィリングの除去を行いました。
エコーで確認するとかなり厚い被膜が形成されています。
アクアフィリングは生理食塩水で溶解されるとのことで、エコー下に生理食塩水を注入しました。
なかなか溶解できず、ヒアルロニダーゼも追加してなんとか溶解除去することができました。

他にも小さなアクアフィリングのしこりを溶解除去しました。
ヒアルロン酸注入によるしこりのエコー診断カルテ
-
- No.073
-
-

- 35歳
-

- 女性
-

- 2015.12.27
-
- ヒアルロン酸注入による失敗
-
- No.071
-
-

- 33歳
-

- 女性
-

- 2015.12.21
-
- ヒアルロン酸注入による失敗
-
- No.068
-
-

- 40歳
-

- 女性
-

- 2015.11.18
-
- ヒアルロン酸注入による失敗
-
- No.066
-
-

- 33歳
-

- 女性
-

- 2015.10.27
-
- ヒアルロン酸注入による失敗
-
- No.059
-
-

- 38歳
-

- 女性
-

- 2015.07.31
-
- ヒアルロン酸注入による失敗






























