- No.058
-
-

- 43歳
-

- 女性
-

- 2015.07.26
-

-
ヒアルロン酸注入
しこり
-
- ヒアルロン酸注入
- しこり
- 3年
- ヒアルロニダーゼ
本日もヒアルロン酸のしこり除去です。
多発している場合は静脈麻酔で行いますが、ほとんどのヒアルロン酸のしこりは局所麻酔で行います。
その場で溶解して吸引するのですぐにしこりはなくなります。
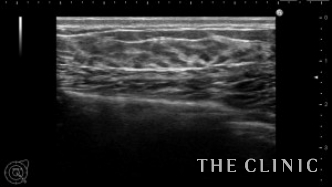
両胸に大きなヒアルロン酸のしこりがありました。

溶解、吸引後です。
黒く見えるヒアルロン酸はなくなりました。
除去したヒアルロン酸です。
ヒアルロン酸注入によるしこりのエコー診断カルテ
-
- No.077
-
-

- 41歳
-

- 女性
-

- 2016.03.25
-
- ヒアルロン酸注入による失敗
-
- No.073
-
-

- 35歳
-

- 女性
-

- 2015.12.27
-
- ヒアルロン酸注入による失敗
-
- No.071
-
-

- 33歳
-

- 女性
-

- 2015.12.21
-
- ヒアルロン酸注入による失敗
-
- No.068
-
-

- 40歳
-

- 女性
-

- 2015.11.18
-
- ヒアルロン酸注入による失敗
-
- No.066
-
-

- 33歳
-

- 女性
-

- 2015.10.27
-
- ヒアルロン酸注入による失敗





























