- No.051
-
-

- 30歳
-

- 女性
-

- 2015.05.27
-

-
ヒアルロン酸注入
しこり
-
- ヒアルロン酸注入
- しこり
- 4年
- ヒアルロニダーゼ

本日は横浜院でヒアルロン酸のしこり除去を行いました。
4年前にヒアルロン酸豊胸をしましたが、両側の乳房に8cm大のしこりになったため相談に来られました。
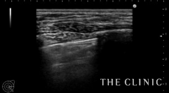
しこりになったヒアルロン酸です。
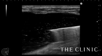
局所麻酔後、穿刺してヒアルロニダーゼを注入して吸引します。

吸引後です。ヒアルロン酸は消失しました。
除去したヒアルロン酸です。
◎ヒアルロン酸豊胸や脂肪注入豊胸、シリコンバッグ豊胸に関して、正しい情報を提供するホームページ『豊胸・バストアップ徹底解析!』も併せてご覧ください。
ヒアルロン酸注入によるしこりのエコー診断カルテ
-
- No.077
-
-

- 41歳
-

- 女性
-

- 2016.03.25
-
- ヒアルロン酸注入による失敗
-
- No.073
-
-

- 35歳
-

- 女性
-

- 2015.12.27
-
- ヒアルロン酸注入による失敗
-
- No.071
-
-

- 33歳
-

- 女性
-

- 2015.12.21
-
- ヒアルロン酸注入による失敗
-
- No.068
-
-

- 40歳
-

- 女性
-

- 2015.11.18
-
- ヒアルロン酸注入による失敗
-
- No.066
-
-

- 33歳
-

- 女性
-

- 2015.10.27
-
- ヒアルロン酸注入による失敗






























