- No.042
-
-

- 43歳
-

- 女性
-

- 2014.11.29
-

-
ヒアルロン酸注入
しこり
-
- ヒアルロン酸注入
- しこり
- 1年
- ヒアルロン酸溶解注射

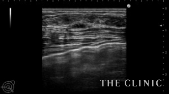
こちらは、多発するヒアルロン酸のしこり治療の症例です。
これまで2回他院でヒアルロン酸豊胸を行っていますが、たくさんのしこりができてしまい当院へ来られました。
両側の皮下、乳腺下、大胸筋内と30個以上のしこりを認めました。
一つ一つエコー下にヒアルロニダーゼを注入して吸引除去しました。
わずかに残存していますが、ほぼしこりは消失しました。
画像右は吸引したヒアルロン酸です。白色に変色しています。
ヒアルロン酸注入によるしこりのエコー診断カルテ
-
- No.077
-
-

- 41歳
-

- 女性
-

- 2016.03.25
-
- ヒアルロン酸注入による失敗
-
- No.073
-
-

- 35歳
-

- 女性
-

- 2015.12.27
-
- ヒアルロン酸注入による失敗
-
- No.071
-
-

- 33歳
-

- 女性
-

- 2015.12.21
-
- ヒアルロン酸注入による失敗
-
- No.068
-
-

- 40歳
-

- 女性
-

- 2015.11.18
-
- ヒアルロン酸注入による失敗
-
- No.066
-
-

- 33歳
-

- 女性
-

- 2015.10.27
-
- ヒアルロン酸注入による失敗






























