- No.026
-
-

- 42歳
-

- 女性
-

- 2014.07.04
-

-
ヒアルロン酸注入
しこり
-
- ヒアルロン酸注入
- しこり
- 2ヵ月
- ヒアルロン酸溶解注射
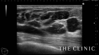
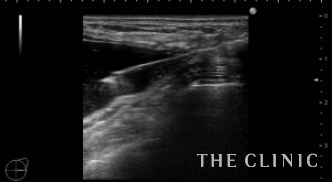
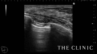
この方は2ヵ月前にヒアルロン酸注入を受けられていますが、除去したいとのご希望でご来院されました。エコーにて、乳腺下に一塊のものと蜂の巣状、皮下にも蜂の巣状のヒアルロン酸のしこりを確認しました。
しこりを穿刺し、ヒアルロニダーゼを注入して吸引除去します。
左)吸引後、しこりは消失しました。
右)除去したヒアルロン酸です。
ヒアルロン酸注入によるしこりのエコー診断カルテ
-
- No.077
-
-

- 41歳
-

- 女性
-

- 2016.03.25
-
- ヒアルロン酸注入による失敗
-
- No.073
-
-

- 35歳
-

- 女性
-

- 2015.12.27
-
- ヒアルロン酸注入による失敗
-
- No.071
-
-

- 33歳
-

- 女性
-

- 2015.12.21
-
- ヒアルロン酸注入による失敗
-
- No.068
-
-

- 40歳
-

- 女性
-

- 2015.11.18
-
- ヒアルロン酸注入による失敗
-
- No.066
-
-

- 33歳
-

- 女性
-

- 2015.10.27
-
- ヒアルロン酸注入による失敗
































