- No.025
-
-

- 45歳
-

- 女性
-

- 2014.07.01
-

-
ヒアルロン酸注入
しこり
-
- ヒアルロン酸注入
- しこり
- 5年
- ヒアルロン酸溶解注射

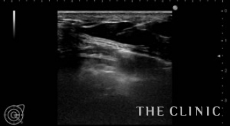
5年前にヒアルロン酸豊胸を受けられ、しこりになってしまったためしこり除去をご希望でご来院されました。ヒアルロン酸のしこりが大量にある場合は、しこり治療とCRF注入を同時に行うことにより脂肪壊死やしこりのリスクが高くなります。この方の場合は、少量のヒアルロン酸であったため、同時CRF注入を行いました。写真)エコー下にヒアルロニダーゼを注入します。
ヒアルロニダーゼがヒアルロン酸に混ざると、すぐに水様になるため吸引除去します。

除去したヒアルロン酸です。(注射器内)
ヒアルロン酸注入によるしこりのエコー診断カルテ
-
- No.077
-
-

- 41歳
-

- 女性
-

- 2016.03.25
-
- ヒアルロン酸注入による失敗
-
- No.073
-
-

- 35歳
-

- 女性
-

- 2015.12.27
-
- ヒアルロン酸注入による失敗
-
- No.071
-
-

- 33歳
-

- 女性
-

- 2015.12.21
-
- ヒアルロン酸注入による失敗
-
- No.068
-
-

- 40歳
-

- 女性
-

- 2015.11.18
-
- ヒアルロン酸注入による失敗
-
- No.066
-
-

- 33歳
-

- 女性
-

- 2015.10.27
-
- ヒアルロン酸注入による失敗




























