- No.063
-
-

- 46歳
-

- 女性
-

- 2015.09.09
-

-
脂肪注入
石灰化
-
- 脂肪注入
- 石灰化
- 14
- 乳輪切開

通常のしこりと違う瘢痕化したしこりを経験したのでご紹介します。
右胸の8㎝大のしこりで来院しました。
脂肪豊胸後のしこりは、通常は壊死した脂肪が被膜(カプセル)に包まれますが、稀に壊死した脂肪が瘢痕化する場合があります。
瘢痕化とは脂肪壊死により欠損した組織を修復するため動員された毛細血管と線維芽細胞に膠原線維の沈着と遊走細胞の浸潤が起こり、最終的に膠原線維沈着が進行した状態です。
この瘢痕化したものは、被膜化していないため診断や治療は難しいです。
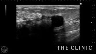
エコー所見です。石灰化の強いしこりです。

今回は大きな石灰化したしこりの摘出をしましたが、周囲に硬いしこりが残ったため確認すると瘢痕化したしこりでした。
再度エコーを確認すると瘢痕組織の周囲に小さなオイルシストもあり、おそらく石灰化したしこりの一部が漏れ出し、強い炎症を伴い瘢痕化したと推測されます。
石灰化したしこりも摘出しています。































