- No.067
-
-

- 40歳
-

- 女性
-

- 2015.11.07
-

-
脂肪注入
しこり
-
- 脂肪注入
- しこり
- 7年
- 乳輪切開
本日は他院で治療後に残存しているしこりを摘出しました。
7年前に他院で脂肪による豊胸術を行っていますが、すぐにしこりになってしまい何度か注射針で抜いたようですが改善しないため当院へ受診しました。
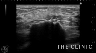
触診では両側乳房にしこりを触れ、エコーでは2cmを超える石灰化したしこりを認めました。何度か注射針で吸引しているのでしこりは辺縁不整で周囲組織と癒着している状態です。

乳輪切開で摘出しました。
被膜は石灰化して、
内部は壊死脂肪が詰まっていました。



































