- No.065
-
-

- 25歳
-

- 女性
-

- 2015.10.14
-

-
脂肪注入
しこり
-
- 脂肪注入
- しこり
- 2年
- 穿刺、ベイザー吸引
本日はピュアグラフト豊胸後のしこり治療を紹介します。
2年前に他院でピュアグラフト豊胸を行いましたが、両側に大きなしこりができてしまったそうです。
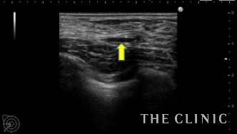
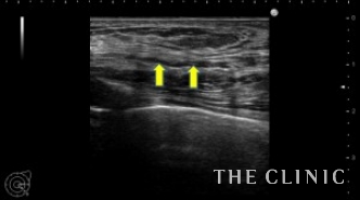
エコーでは右に6cmを超えるしこり(オイルシスト)、左にも3.5㎝のしこり(混合性のしこり)、小さなオイルシストも認めました。
右;オイルシストですがわずかに充実性成分も認めます。
左;オイル成分もありますが半分以上は充実性成分です。
右は穿刺吸引しました。 被膜が残っていますが、ほとんどなくなりました。
左はベイザーで脂肪を崩してから吸引しました。こちらもほとんど壊死脂肪はなくなりました。
除去した壊死脂肪です。
今後はコンデンスリッチ豊胸を行う予定です。





































