- No.069
-
-

- 22歳
-

- 女性
-

- 2015.11.20
-

-
脂肪注入
しこり
-
- 脂肪注入
- しこり
- 8ヶ月
- ベイザー吸引
シリコンバッグを挿入すると、バッグの周りにカプセルが作られます。バッグを抜去するとカプセルは虚脱してスペースはなくなりますが、カプセル自体は残存します。
通常はバッグの入っていた層には脂肪を注入しませんが、稀にカプセル内に脂肪が流れ込み、しこりになる場合があります。
この方はカプセル内に脂肪が注入されたため、定着せずしこりになっていました。カプセル内に注入されたしこりの治療はカプセル内を移動するため、非常に難易度が高いです。
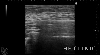
術前のエコーです。
乳腺下に充実性のしこりがあります。右はカプセル内ですがしこりは移動しませんでした。左はカプセル内を広範囲に移動します。他にも1.5㎝の小さなしこりもありこれも移動します。
今回は乳房下縁に5㎜の傷口からアプローチしてベイザーリポで脂肪を崩して吸引除去しました。
小さなしこりは傷口から直接取り出しました。
ベイザーで崩しているところです。
右乳房が小さいため右のみコンデンスリッチ豊胸を同時に行いました。通常はベイザーによるしこり除去とコンデンスリッチ豊胸は同時には行いませんが、今回はカプセル内のしこりなので同時に行いました。
大変でしたが何とかしこりを除去できました。
除去した壊死脂肪と術後10日目のエコーです。
しこりは完全に消失しています。






































