- TOP
- エコー診断カルテ
- 脂肪注入
- しこり
- 46歳/1年10ヶ月
- No.070
-
-

- 46歳
-

- 女性
-

- 2015.11.21
-

-
脂肪注入
しこり
-
- 脂肪注入
- しこり
- 1年10ヶ月
- 穿刺
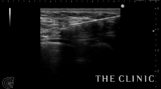
本日はオイルシストによるしこりなので同時にコンデンスリッチ豊胸を行いました。
左乳腺下にオイルシストが2個ありました。
エコー下に穿刺吸引しました。

白濁したオイルが引けました。この後、コンデンスリッチ豊胸を行いました。







本日はオイルシストによるしこりなので同時にコンデンスリッチ豊胸を行いました。
左乳腺下にオイルシストが2個ありました。



エコー下に穿刺吸引しました。


白濁したオイルが引けました。この後、コンデンスリッチ豊胸を行いました。