- No.061
-
-

- 44歳
-

- 女性
-

- 2015.08.22
-

-
脂肪注入
石灰化
-
- 脂肪注入
- 石灰化
- 20
- 乳輪切開
本日は20年前に他院で脂肪注入した方のしこり治療を行いました。
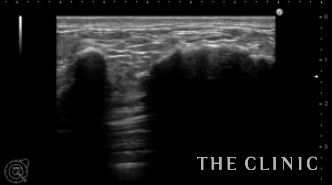
触診では左右に1個づつの7㎝大のしこりを触れましたが、エコーではさらに左に2つの石灰化したしこりを認めました。
エコー所見です。

マーキングするとこのようになります。
右は上半分の乳輪切開で左は下にも乳輪切開を加えました。

摘出したしこりです。
バストの変形もなく、傷口も時間の経過とともに目立たなくなると思います。
石灰化したカプセル内には、壊死した脂肪が詰まっていました。

































