- No.006
-
-

- 22歳
-

- 女性
-

- 2013.08.13
-

-
脂肪注入
石灰化
-
- 脂肪注入
- 石灰化
- 2年
- ベイザーリポ&穿刺除去

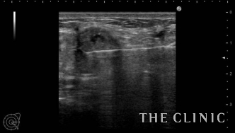
こちらの患者様は他院で2度のコンデンスリッチ豊胸を受けられた方で、1回目の手術後からしこりができているのを自覚されたそうです。会社での健康診断で指摘され、豊胸手術をしたことが広まってしまうのでは……という不安から来院されました。
エコー検査では、両方のバストに多数のしこりを確認。超音波を反射しそれより内部が黒くなりなっていることから、しこりの辺縁には石灰化が認められます。

ご相談の結果、違和感もあるとのことだったので、しこりを除去する意外にも注入した脂肪をすべて吸引することになりました。
しこりはベイザーリポ(ベイザー脂肪吸引)の特殊な超音波で崩し、吸引針で穿刺することで除去しました。こちらの画像のように、エコーに映し出される映像を確認しながら行うことで、しこりに的確に吸引針を挿入することができます。

残念ながら石灰化はバストを切開して摘出する以外に治療することはできませんが、しこりは完全に消失しました。ただ、1回の手術では取りきれなかったしこりがまだ残っているので、期間をあけて再度の手術を予定しています。





























