- No.047
-
-

- 54歳
-

- 女性
-

- 2015.03.31
-

-
シリコンバッグ
カプセル拘縮
-
- シリコンバッグ
- カプセル拘縮
- 18
- バッグ抜去 CRF豊胸

生食バッグの抜去とコンデンスリッチ豊胸を行いました。
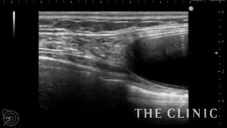
18年前にバッグを挿入していましたが、カプセル拘縮が強く皮膚の引き攣れがありました。エコー画像です。バッグは大胸筋下に挿入されています。

抜去したバッグです。

右と左のバッグの大きさが違いました。
右にコンデンスリッチファットを多く注入して左右のバランスを整えました。
生食バッグの破損はなかったので左右大きさの違うバッグが入っていたと思われます。
シリコンバッグによるカプセル拘縮のエコー診断カルテ
-
- No.080
-
-

- 39歳
-

- 女性
-

- 2016.05.04
-
- シリコンバッグによる失敗
-
- No.079
-
-

- 42歳
-

- 女性
-

- 2016.02.24
-
- シリコンバッグによる失敗
-
- No.074
-
-

- 25歳
-

- 女性
-

- 2015.11.13
-
- シリコンバッグによる失敗
-
- No.056
-
-

- 67歳
-

- 女性
-

- 2015.06.23
-
- シリコンバッグによる失敗
-
- No.055
-
-

- 38歳
-

- 女性
-

- 2015.06.12
-
- シリコンバッグによる失敗


























