- No.079
-
-

- 42歳
-

- 女性
-

- 2016.02.24
-

-
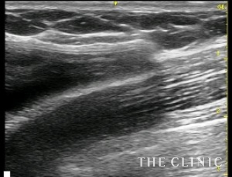
シリコンバッグ
カプセル拘縮
-
- シリコンバッグ
- カプセル拘縮
- 10年
- バッグエント CRF豊胸

10年前に乳腺下にバッグを挿入しています。脇の下からバッグを抜去して片胸に230㏄づつCRFを注入しました。取り出したバッグの右側はカプセル拘縮が強く変形していました。
シリコンバッグによるカプセル拘縮のエコー診断カルテ
-
- No.080
-
-

- 39歳
-

- 女性
-

- 2016.05.04
-
- シリコンバッグによる失敗
-
- No.074
-
-

- 25歳
-

- 女性
-

- 2015.11.13
-
- シリコンバッグによる失敗
-
- No.056
-
-

- 67歳
-

- 女性
-

- 2015.06.23
-
- シリコンバッグによる失敗
-
- No.055
-
-

- 38歳
-

- 女性
-

- 2015.06.12
-
- シリコンバッグによる失敗
-
- No.054
-
-

- 34歳
-

- 女性
-

- 2015.06.08
-
- シリコンバッグによる失敗























