- No.055
-
-

- 38歳
-

- 女性
-

- 2015.06.12
-

-
シリコンバッグ
カプセル拘縮
-
- シリコンバッグ
- カプセル拘縮
- 15年
- シリコンバッグ除去 CRF豊胸
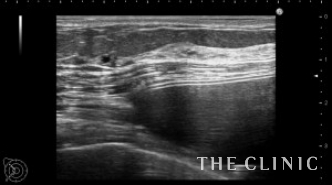
15年前に挿入した生理食塩水バッグの抜去とCRF豊胸を希望して来院しました。
エコーでバッグの入っている部位(乳腺下か、大胸筋下か)や、カプセル拘縮の状態やバッグの破損を診断します。
この方はバッグは大胸筋下、軽度のカプセル拘縮を認めました。
バッグが挿入されている部位は、本人は覚えていないこともあり、術前のエコー診断は安全にバッグを取り出すために不可欠です。

無事にバッグを抜去してコンデンスリッチ豊胸を行うことができました。
抜去したバッグです。
シリコンバッグによるカプセル拘縮のエコー診断カルテ
-
- No.080
-
-

- 39歳
-

- 女性
-

- 2016.05.04
-
- シリコンバッグによる失敗
-
- No.079
-
-

- 42歳
-

- 女性
-

- 2016.02.24
-
- シリコンバッグによる失敗
-
- No.074
-
-

- 25歳
-

- 女性
-

- 2015.11.13
-
- シリコンバッグによる失敗
-
- No.056
-
-

- 67歳
-

- 女性
-

- 2015.06.23
-
- シリコンバッグによる失敗
-
- No.054
-
-

- 34歳
-

- 女性
-

- 2015.06.08
-
- シリコンバッグによる失敗



























