- TOP
- エコー診断カルテ
- シリコンバッグ
- シリコンバッグの破損
- 39歳/16年
- No.080
-
-

- 39歳
-

- 女性
-

- 2016.05.04
-

-
シリコンバッグ
シリコンバッグの破損
-
- シリコンバッグ
- シリコンバッグの破損
- 16年
- バッグエント
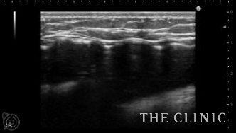
本日紹介する方は左胸の痛みで来院、見た目や触診では問題ありませんでしたが、エコー検査で左胸のバッグが破損していました。エコー所見です。右は軽度のカプセル拘縮を認めますが、左は破損してカプセル内にシリコンが漏れていました。腋の下からバッグを取り出しましたが、左のカプセル内にはシリコンが漏れていました。
バッグの破損があると術後にカプセル内にリンパ液が貯留する場合がありますが、
1週間後のエコーではリンパ液の貯留もなく問題ありませんでした。バッグの破損は自覚症状がない場合も多いので、定期的にエコー検査をするべきだと思います。
シリコンバッグによるシリコンバッグの破損のエコー診断カルテ
-
- No.079
-
-

- 42歳
-

- 女性
-

- 2016.02.24
-
- シリコンバッグによる失敗
-
- No.074
-
-

- 25歳
-

- 女性
-

- 2015.11.13
-
- シリコンバッグによる失敗
-
- No.056
-
-

- 67歳
-

- 女性
-

- 2015.06.23
-
- シリコンバッグによる失敗
-
- No.055
-
-

- 38歳
-

- 女性
-

- 2015.06.12
-
- シリコンバッグによる失敗
-
- No.054
-
-

- 34歳
-

- 女性
-

- 2015.06.08
-
- シリコンバッグによる失敗




























