- TOP
- エコー診断カルテ
- シリコンバッグ
- シリコンバッグの破損
- 50歳/4年
- No.041
-
-

- 50歳
-

- 女性
-

- 2014.11.16
-

-
シリコンバッグ
シリコンバッグの破損
-
- シリコンバッグ
- シリコンバッグの破損
- 4年
- バッグ抜去、コンデンスリッチ豊胸
本日はカプセル拘縮の強いシリコンバッグの抜去の症例を紹介します。
両側の胸の硬さと右胸の痛みで来院しました。
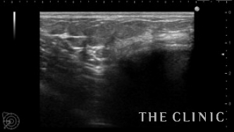
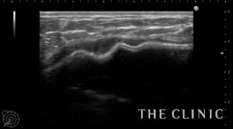
エコー所見です。
右のバッグの周囲のカプセルは肥厚して石灰化が疑われます。
わずかですが、バッグの周囲にシリコンが漏れています。
脇の下からバッグを抜去して漏れたシリコンをすべて洗浄しました。
そして、その後にコンデンスリッチ豊胸を行いました。

抜去したシリコンバッグです。
破損した右のシリコンはバッグが赤く変色していました。
シリコンバッグによるシリコンバッグの破損のエコー診断カルテ
-
- No.080
-
-

- 39歳
-

- 女性
-

- 2016.05.04
-
- シリコンバッグによる失敗
-
- No.079
-
-

- 42歳
-

- 女性
-

- 2016.02.24
-
- シリコンバッグによる失敗
-
- No.074
-
-

- 25歳
-

- 女性
-

- 2015.11.13
-
- シリコンバッグによる失敗
-
- No.056
-
-

- 67歳
-

- 女性
-

- 2015.06.23
-
- シリコンバッグによる失敗
-
- No.055
-
-

- 38歳
-

- 女性
-

- 2015.06.12
-
- シリコンバッグによる失敗





























