- No.057
-
-

- 41歳
-

- 女性
-

- 2015.07.15
-

-
脂肪注入
しこり
-
- 脂肪注入
- しこり
- 10
- 穿刺
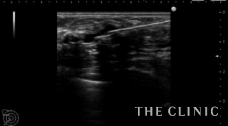
脂肪豊胸後のしこりに悩む方は多いですが、しこりの状態や患者さんの希望により、適切なアドバイスと治療を行うようにしています。
脂肪豊胸後のしこり自体は悪性化することはないので、必ずしも治療する必要はないと思います。
しかし、時間の経過とともに炎症を引き起こし石灰化することもあります。
この方は大きなオイルシストと細かい石灰化が混在したしこりでした。
左がオイルシストです。 右は細かい石灰化です。
手で触れる多くのしこりはオイルシストで、細かい石灰化はほとんど触れません。
オイルシストは注射針で簡単に治療できますが、石灰化は摘出するしかありません。
今回は石灰化は治療せず、オイルシストのみ穿刺吸引しました。

吸引したオイルです。

































