- No.050
-
-

- 28歳
-

- 女性
-

- 2015.05.20
-

-
脂肪注入
しこり
-
- 脂肪注入
- しこり
- 4ヶ月
- 穿刺処置
他院で4ヵ月前に脂肪による豊胸を行った方が、しこりで来院されました。
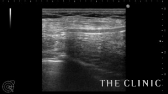
左胸に4㎝弱のしこりが触れ、エコーでは充実性のしこりでした。
壊死した脂肪が液状化したオイルシストであれば、注射針で吸引除去することが可能ですが、充実性の場合は吸引することは難しいです。
さらに1ヵ月経過後のエコーです。

黒いオイル成分が増えてきましたので、太めの注射針で穿刺吸引しました。
除去した脂肪です。
豊胸後間もない時期のしこりの性状は時間の経過とともに変化する場合もあります。
今回は注射針で治療することができ、患者さんにも喜んでいました。




































