- No.046
-
-

- 38歳
-

- 女性
-

- 2015.03.16
-

-
脂肪注入
しこり
-
- 脂肪注入
- しこり
- 半年
- ベイザー

コンデンスリッチ豊胸は定着率も高く、しこりになるリスクは非常に少ない方法ですが、注入技術や注入量が適正でないと脂肪が壊死してしこりになります。
今回の症例も他院で半年前にコンデンスリッチ豊胸を行いましたが、右胸に2㎝のしこりを自覚して来院しました。
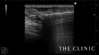
エコーでは、右胸に2㎝大の充実成分を含む腫瘤を認めました。他にも小さなオイルシストが散在していました。
右の充実性のしこりです。
充実性のしこりは、ベイザーリポで崩して吸引しました。
オイルシストは穿刺吸引しました。
ベイザーで吸引した脂肪と穿刺吸引したオイルシストです。

































