- No.039
-
-

- 36歳
-

- 女性
-

- 2014.10.15
-

-
脂肪注入
しこり
-
- 脂肪注入
- しこり
- 2年
- ベイザー、穿刺
他院で3回しこりの治療を行ったとのことですが、改善しないため当院へ来られました。
しこりは非常に硬く、バストが変形していました。
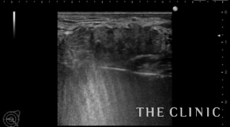
エコー所見です。 オイルシストの下に5㎝を超える混合性のしこりを認めます。(左)
他にもオイルシストが多発していました。

ベイザーリポで壊死脂肪を崩して吸引します。
吸引した壊死脂肪です。(左)
オイルシストは穿刺吸引しました。(右)

































