- No.037
-
-

- 25歳
-

- 女性
-

- 2014.10.04
-

-
脂肪注入
しこり
-
- 脂肪注入
- しこり
- 3年
- ベイザー

今回もしこり治療です。
この方は3年前に他院で脂肪注入による豊胸をされました。
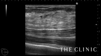
両側に充実性の大きなしこりを認めました。被膜も厚そうです。
いつも通りベイザーで崩します。

ほとんどの壊死脂肪が除去できました。
吸引した壊死脂肪です。






今回もしこり治療です。
この方は3年前に他院で脂肪注入による豊胸をされました。
両側に充実性の大きなしこりを認めました。被膜も厚そうです。



いつも通りベイザーで崩します。


ほとんどの壊死脂肪が除去できました。


吸引した壊死脂肪です。