- No.036
-
-

- 55歳
-

- 女性
-

- 2014.09.28
-

-
脂肪注入
しこり
-
- 脂肪注入
- しこり
- 2年
- ベイザー

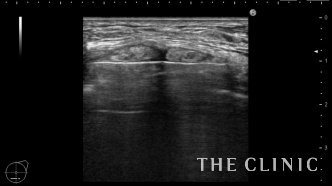
この方は、大胸筋下に充実性のしこりを認めます。
大胸筋下のしこりは、バストの深い層にあるため触れにくいですが、バストのボリュームが小さい方は気になる場合があります。

ベイザーリポで壊死した脂肪を崩して吸引します。

吸引後です。
一部に壊死脂肪が残りましたが、しこりは触れなくなりました。
大胸筋下のしこりは皮下、乳腺下のしこりに比べると難易度が高いと思います。
吸引脂肪です。































