- No.035
-
-

- 35歳
-

- 女性
-

- 2014.09.12
-

-
脂肪注入
脂肪壊死
-
- 脂肪注入
- 脂肪壊死
- 半年
- ベイザー、 穿刺処置、ヒアルロン酸溶解注射
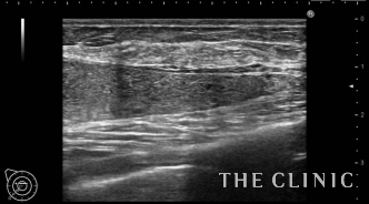
今回は、他院で非常に悲惨な治療をされた患者さんが来院したのでご紹介させていただきます。
この方は、ヒアルロン酸豊胸を受けた1か月後にコンデンスリッチ豊胸を受け、乳房の変形、しこりでお悩みになり、来院されました。
ご存じの通り、脂肪は血流がないと定着しません。大量のヒアルロン酸がある場合はそのまま脂肪を注入しても壊死してしまうので、ヒアルロン酸を溶解してから脂肪を注入します。
今回の症例はヒアルロン酸を溶解せず、脂肪を注入したためしこりになり、乳房が変形してしましました。
ヒアルロン酸と脂肪のしこりはベイザーで溶解して吸引、ヒアルロン酸のしこりはヒアルロニダーゼで溶解吸引しました。
吸引したヒアルロン酸と脂肪です。
画像右:ヒアルロン酸は通常透明(左側)ですが、壊死した脂肪が混在しています(右)。
吸引後の画像です。ほとんどしこりはなくなりました。
このような不幸な患者さんを増やさないために、美容外科医として最低限の知識、技術を持って欲しいと思います。
今後はコンデンスリッチ豊胸を行う予定です。





































