- No.033
-
-

- 45歳
-

- 女性
-

- 2014.09.04
-

-
脂肪注入
しこり
-
- 脂肪注入
- しこり
- 2年
- ベイザーリポ

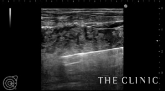
この方は他院でCRF豊胸を受けられました。手術後1年後ぐらいから硬さと違和感を感じ始め、最近は痛みも出現してきたためしこり除去を希望されて当院を受診されました。両側の乳腺下に10㎝を超える大きなしこりを認めます。カプセルに包まれた混合性(充実成分とオイル成分)のしこりです。
左)エコー下にベイザーリポで充実性成分を崩します。
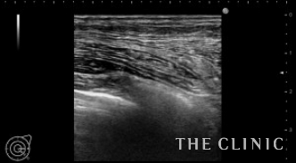
右)カニューレで壊死した脂肪を吸引除去します。
左)吸引後の状態です。カプセルは残っていますが、壊死脂肪はほとんど消失しました。右)除去した壊死脂肪です。
これだけ大きなしこりはカプセル内に液体が貯留する場合がありますが、フォローアップのエコーでは問題ありませんでした。



































