- No.032
-
-

- 56歳
-

- 女性
-

- 2014.08.22
-

-
脂肪注入
しこり
-
- 脂肪注入
- しこり
- 3年
- 穿刺処置

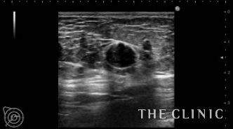
No.31でご紹介した方のオイルシストです。
右に13個・左に8個あり、それぞれ3㎜~15㎜の大きさです。
エコー下にて、穿刺吸引を行います。

全てのしこりを除去できました。






No.31でご紹介した方のオイルシストです。
右に13個・左に8個あり、それぞれ3㎜~15㎜の大きさです。



エコー下にて、穿刺吸引を行います。


全てのしこりを除去できました。