- No.031
-
-

- 56歳
-

- 女性
-

- 2014.08.22
-

-
脂肪注入
しこり
-
- 脂肪注入
- しこり
- 3年
- ベイザーリポ
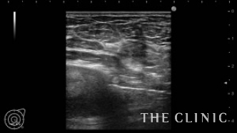
この方は、3年前に他院でバッグ除去と脂肪注入による豊胸を受けられた方です。半年程前からしこりに気付き、注射による治療をされていましたが現在痛みもあるため当院を受診されました。
エコーにて、右にオイルシスト、左にオイルシストと4㎝の混合性腫瘤を認めました。(オイルシストの症例はNo.32でご紹介します)
混合性腫瘤の被膜が非常に硬く、中々カニューレが被膜を破れませんでした。何とか突き破ることが出来、ベイザーリポで崩していきます。

脂肪を崩して完全に吸引除去しました。

































