- No.017
-
-

- 43歳
-

- 女性
-

- 2014.01.09
-

-
脂肪注入
脂肪壊死
-
- 脂肪注入
- 脂肪壊死
- 2年
- ベイザーリポ・穿刺除去
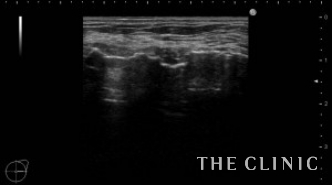
この方は2年前に他院にてバッグ抜去+脂肪注入(片側400㏄)を受けられています。その際、被膜の中に脂肪が入ってしまい血流が途絶えたために脂肪壊死となりしこりになってしまったようです。一番大きい物で6㎝の充実性のしこりがありました。(左の画像)その他にもオイル状の小さいしこりがいくつかあり、皮下にあるものは針で刺してオイルを吸引除去しました。(右の画像)
6㎝のしこりの被膜は肥厚し、内部は充実性のしこり(脂肪壊死)とオイルの両方を認めます。肥厚した被膜を破りチューメセント(麻酔)を注入して、脂肪壊死を崩すためベイザーリポを使用します。
脂肪が崩れた後は吸引を行い、しこりは消失しました。右側は吸引除去した壊死脂肪です。



































