- No.011
-
-

- 32歳
-

- 女性
-

- 2013.09.06
-

-
脂肪注入
しこり
-
- 脂肪注入
- しこり
- 10年
- 穿刺除去
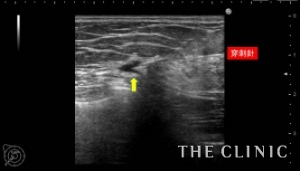
この方は、10年前に脂肪注入を受けられていて、近年の乳がん検診にてしこりを指摘されたとのこと。指摘後は何もせず放置していたが、昨年ぐらいから自分でもしこりを感じるようになったため、当院を受診されました。
しこりの大きさは3mmから7mmと非常に小さなしこりでしたが、ご本人が治療を希望されたためエコー下に穿刺吸引しました。右のしこりの1つは乳腺内の腫瘤でしたが濃縮のう胞でした。

吸引した脂肪です。両側合わせて12個のオイルシストを穿刺吸引しました。

































